动物造模

小鼠皮下移植瘤

小鼠皮下移植瘤

服务介绍:鼠源细胞接种到小鼠体内,并以此为模型进行疾病发生机制和药物筛...

2025-05-23
小鼠皮下移植瘤(只成瘤)

小鼠皮下移植瘤(只成瘤)

服务介绍:鼠源细胞接种到小鼠体内,并以此为模型进行疾病发生机制和药物筛...

2025-05-23
小鼠肝转移瘤(脾转肝)

小鼠肝转移瘤(脾转肝)

服务介绍:肿瘤动物模型是肿瘤病因学、发病机制以及防治等研究的重要工具。...

2025-05-23
小鼠皮肤损伤

小鼠皮肤损伤

服务介绍:  皮肤创伤一般指皮肤受到各种因素的作用下所造成的皮肤组织破...

2025-05-23
大鼠皮肤损伤

大鼠皮肤损伤

服务介绍:  皮肤创伤一般指皮肤受到各种因素的作用下所造成的皮肤组织破...

2025-05-23
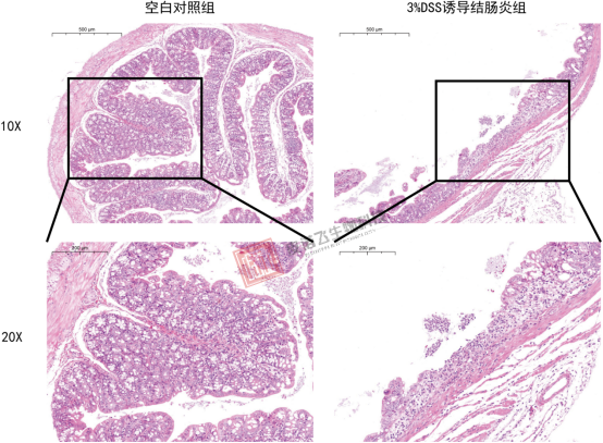
小鼠3%DSS诱导结肠炎模型实验报告

小鼠3%DSS诱导结肠炎模型实验报告

皮诺飞生物动物模型小鼠3%DSS诱导结肠炎模型实验,本实验成功构建小鼠3%DSS...

2026-03-23
大鼠关节炎模型

大鼠关节炎模型

大鼠关节炎模型服务的定义和实验方法的介绍:一、 定义大鼠关节炎模型服务是...

2025-05-23
小鼠乳腺癌原位瘤药效评估

小鼠乳腺癌原位瘤药效评估

皮诺飞生物小鼠乳腺癌原位瘤药效评估服务的定义和实验方法的介绍:一、 定义...

2025-05-23
小鼠动脉粥样硬化(As)模型

小鼠动脉粥样硬化(As)模型

服务介绍:以 C57BL/6 纯系ApoE-/-小鼠为材料,通过高胆固醇饲料喂养,诱导...

2025-05-23