 
        实验方法:
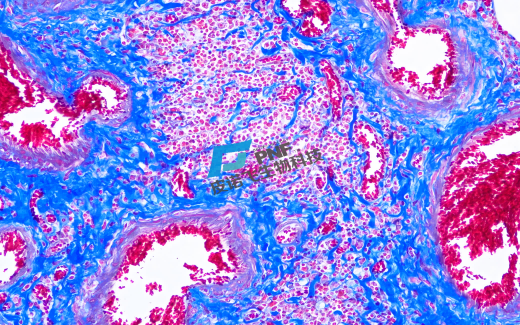
Masson染色通过其特殊的染色方法,能够清晰显示组织中的胶原纤维和肌纤维,从而帮助研究人员观察细胞和组织的结构、形态、变化等。其原理主要基于不同成分具有吸收不同波长的光线的原理,通过一系列化学处理和染色剂的作用,使得胶原纤维产生色素沉淀,从而呈现出有别于周围组织的颜色。
| 货号 | 名称 | 规格 | 价格 | 
| PA1025 | Masson染色 | 张 | 15元 | 
实验流程:
1. 组织的固定:首先,需要将待染色的组织进行固定处理,常用的固定剂有福尔马林、甲醛等。固定的目的是为了保护细胞结构,使其能够保持形态和结构的完整性。
2. 高渗透处理:为了加强组织对染色剂的亲和力,需要对组织进行高渗透处理,可以使用浓度逐渐增加的醇和凝胶溶液进行渗透处理。
3. 染色步骤:Masson染色包括原液染色、酸性染色、低酸染色、溶剂处理和显微观察等步骤。根据不同的实验目的和研究要求,可以对染色条件进行适当调整。
4. 封片和观察:染色完成后,将组织标本封片,使用显微镜进行观察和分析。在观察过程中,研究人员可以根据染色效果,对组织的形态和结构进行分析和描述。
注意事项
1. 操作环境的清洁:Masson染色需要在相对干净的实验环境中进行,避免干扰物质的影响。实验台面及玻璃器具要进行彻底清洗和消毒,避免细菌、尘埃等的干扰。
2. 染色时间控制:根据不同的实验需求,染色的时间可以进行适当控制,但过长的染色时间会导致染色剂的沉淀量增加,从而影响染色结果的准确性。
3. 染色剂使用:在进行Masson染色实验时,需要注意选择合适的染色剂,并根据实验要求进行稀释。同时,染色剂的保存条件也要符合要求,避免其发生变质或失效。
Masson染色技术在细胞学研究中有着重要性和应用价值,它的广泛应用帮助我们更好地了解细胞和组织的结构与功能,为研究和诊断疾病提供了重要的依据。
结果展示
 
     
    
肺 masson 肺 masson 肺 masson