行业资讯
行业资讯

行业资讯

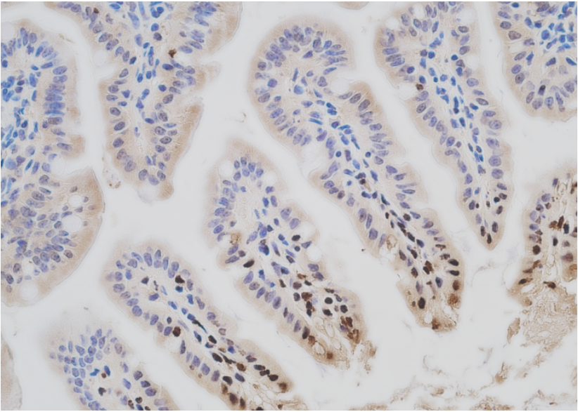
IHC免疫组化检测指标全面解析

IHC免疫组化检测指标全面解析

免疫组化(IHC)是一种广泛应用于生物医学研究及临床诊断的技术,它通过利用抗体与特定抗原之间的相互作用,来检测组织切片中的特定蛋白质。在癌症研究、病理诊断...

2024-12-09
提升实验室效率,选择专业的Western Blot检测公司

提升实验室效率,选择专业的Western Blot检测公司

在生物医学研究中,Western Blot技术是一种重要的蛋白质检测方法,广泛应用于疾病的研究、诊断和生物标志物的开发。因此,选择一家专业的Western Blot检测公司,...

2024-12-03
最佳多标记免疫荧光技术公司推荐:选择的关键所在

最佳多标记免疫荧光技术公司推荐:选择的关键所在

多标记免疫荧光技术(Multiplex Immunofluorescence Technology)作为一种重要的生物检测手段,广泛应用于生物医学研究、临床诊断及药物开发等领域。随着技术的不...

2024-12-02
实时荧光定量PCR技术与前沿公司全景解析

实时荧光定量PCR技术与前沿公司全景解析

引言实时荧光定量PCR(qPCR)技术作为一种高灵敏度、高特异性的分子生物学技术,已经广泛应用于基因检测、病原体检测、基因表达分析等领域。随着生命科学研究的不...

2024-12-02
双荧光素酶互补实验:生物分子互动的全新视界

双荧光素酶互补实验:生物分子互动的全新视界

双荧光素酶互补实验(BiFC)作为现代分子生物学中的重要工具,以其高灵敏度、实时检测和特异性强等优势,广泛应用于研究蛋白质-蛋白质相互作用。本文深入分析了双...

2024-11-29
流式细胞技术公司推荐:选择最佳合作伙伴的5大标准

流式细胞技术公司推荐:选择最佳合作伙伴的5大标准

流式细胞技术(Flow Cytometry)是一种强大的分析工具,广泛应用于生命科学研究、疾病诊断、药物开发以及临床检测等领域。在这项技术迅速发展的背景下,市场上涌...

2024-11-27
皮诺飞生物 动物模型公司:助力科学研究的关键伙伴

皮诺飞生物 动物模型公司:助力科学研究的关键伙伴

在现代科学研究中,动物模型的使用已经成为了药物研发、疾病研究以及生物学实验的重要组成部分。动物模型公司正是为科学界提供这一核心资源的重要企业。本文将详...

2024-11-26
WB检测公司:为您提供专业的生物技术检测服务

WB检测公司:为您提供专业的生物技术检测服务

在生物技术日益发展的今天,WB(Western Blot)检测作为一种广泛使用的蛋白质分析技术,已成为生物医学研究和临床诊断中的重要工具。随着市场需求的增加,涌现出...

2024-11-25
哪家WB检测技术公司更值得信赖?全面分析与推荐

哪家WB检测技术公司更值得信赖?全面分析与推荐

西方免疫印迹技术(Western Blot, WB)是一种广泛应用于生物医学研究和疾病诊断的技术,因其高特异性和灵敏度而受到科研人员的青睐。随着市场对WB检测需求的日益...

2024-11-22
皮诺飞生物 激光共聚焦显微镜:揭开生命科学的微观世界

皮诺飞生物 激光共聚焦显微镜:揭开生命科学的微观世界

激光共聚焦显微镜(Laser Scanning Confocal Microscope,LSCM)是一种先进的光学显微技术,广泛应用于生命科学、材料科学和生物医学等领域。它通过对样品进行逐...

2024-11-08