公司新闻
公司新闻

公司新闻

当前位置:首页 > 新闻资讯 > 公司新闻

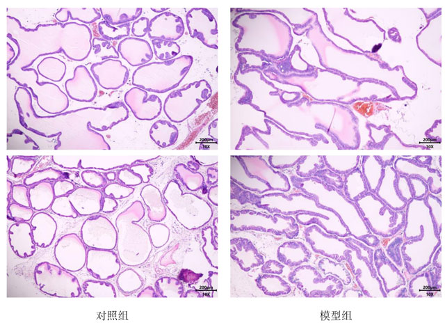
睾丸摘除联合丙酸睾酮构建前列腺增生模型

背景

前列腺与雄激素之间的关系十分紧密,前列腺的生长发育、结构功能的完整性以及病理变化的产生均依赖于雄激素的作用。作用于前列腺的雄激素通过5α-还原酶的催化作用转化为二氢睾酮,继而通过方向化作用转变为雌二醇。二氢睾酮是人体作用最强的雄激素,活性为睾酮的2-3倍,其与雄激素受体的结合量是睾酮的4-5倍。雄激素与前列腺细胞上的相应受体结合,通过抑制细胞凋亡和促进细胞增殖作用,引起前列腺细胞的增殖凋亡失调,然后诱发前列腺增生。而睾丸是前列腺雄激素的主要来源,通过睾丸切除术和低剂量外源雄激素补充,可以干扰机体的内源性激素平衡,从而导致前列腺增生。
材料和方法
SD大鼠(雄性,6-8周龄)
造模方法:摘除睾丸后7天,开始连续皮下注射丙酸睾酮4周,成功制备前列腺增生模型。
评价指标:脏器指数、HE染色
验证

前列腺指数

1.jpg

前列腺HE染色

2.jpg